Cumulative Confirmed COVID-19 Cases

Saturday, May 31, 2025

COVID Variant NB.1.8.1 In Australia

Strangely (or maybe not strangely), I still have heard nothing about this variant on my local news stations or any of the national news stations I watch.

------------------------------------- 

From TheHealthSite,com (India), 5/31/25:

New COVID-19 Variant NB.1.8.1 Spreads Rapidly In Australia, Experts Urge Vaccination And How To Stay Safe

"A new COVID-19 variant named NB.1.8.1 has been detected in several states across Australia. The World Health Organization (WHO) is currently monitoring the situation closely, as this variant appears to be spreading faster than previous strains. Experts are urging the public to get booster doses and strictly follow precautionary measures such as wearing masks, washing hands regularly, and staying home when feeling unwell. Common symptoms include fatigue and throat irritation.  

"This rapidly spreading subvariant is part of the Omicron lineage and has been reported in Victoria, New South Wales, Western Australia, and Queensland. The NB.1.8.1 variant is now under WHO surveillance due to its increased transmissibility and concerning ability to infect or reinfect even vaccinated individuals. 

NB.1.8.1 The Fearless COVID-19 Variant

"In Australia, genome surveillance has noticed that the NB.1.8.1 variant has surpassed 40% of cases in Victoria and is currently a dominant variant according to the sampling going on in Perth. 

"Research suggests that the NB.1.8.1 variant is more infectious than other strains, and the rate of spread is also higher. It also has an enhanced ability to infect individuals, even by destroying the antibodies gained through vaccination.

"NB.1.8.1 variant is causing more severe illness than previous strains, increasing the chance of hospitalisation in the vulnerable population. 

How To Get Vaccinated

"If you are not yet vaccinated against the deadly COVID-19 virus, make sure to follow these easy steps:

  1. Firstly, check the eligibility on your state health website (e.g., Services Australia, WA Health).
  2. Then, book an appointment through a local pharmacy or a nearby vaccination department. It's free for eligible Australians.
  3. A booster dose is important; 6% of Australians have received a booster in the past six Months.
  4. Health authorities are focusing on taking precautions, and vaccination is helpful for protection from COVID-19.

 Symptoms of NB.1.8.1 Variant

"As NB.1.8.1 is a subvariant of the Omicron strain. It presents symptoms similar to it. But it may vary in intensity. Here are some of the common signs to be aware of:

  1. Sore throat and irritation
  2. Fatigue and Tiredness even without physical activity
  3. Fever or Chills
  4. Mild cough can be dry or watery
  5. Muscles and Body Aches
  6. Nasal Congestion and a runny nose with sneezing
  7. Loss of taste and smell in severe cases
  8. Abdominal discomfort
  9. Nausea or Diarrhoea

"As the NB.1.8.1 variant spreads rapidly across multiple states in Australia, it serves as a stark reminder that COVID-19 is far from over."

Zohran Mamdani Would Be A Disaster For NY Jews

It would be a disaster for this antisemite to become the next Mayor of New York, but the last I heard, he was running neck and neck in the polls with Andrew Cuomo. It would also be a disaster for New York's large Jewish population, and fuel for the fire of Jew-hatred.

----------------------------------- 

New York Post headline, 5/30/25:

Zohran Mamdani spews antisemitic tropes, falsely claims taxpayers foot the bill for NY pols’ Israel trips: Jewish activists

"Democratic socialist mayoral candidate Zohran Mamdani is being accused of spewing antisemitic tropes — after he falsely claimed taxpayers were footing the bill for New York lawmakers’ trips to Israel.

"Jewish advocates railed that the Queens state Assembly member was insinuating Jewish pols were swindling New Yorkers to benefit Israel at their expense.

“The danger that Mamdani poses to Jewish freedom in New York City is palpable,” fumed Queens Councilman Rory Lancman, a senior counsel at the non-profit Louis D. Brandeis Center for Human Rights Under Law.

"Mamdani, 33, made the bogus claim in recently resurfaced video from a May 11, 2021, pro-Palestinian, anti-Israel protest, where he also led chants of “BDS” — supporting the economic boycott, divestment and sanctions movement against the Jewish state.

“We have elected officials paid for trips to Israel,” he said in the clip posted on his Facebook page, which came back to light Sunday — hours before the Salute to Israel Day parade in Manhattan.

“They are going there paid for by your tax dollars,” Mamdani said.

“They show up at the Israel Day parade and they say, ‘We stand in solidarity,’” he went on. “We want to let them know that there are three letters that we have as an answer to what is happening in Palestine. It’s BDS.”

"But the trips taken by state legislators and city council members are sponsored and paid for by the Jewish Community Relations Council of New York via philanthropic dollars, said JCRC CEO Mark Treyger, the grandson of Holocaust survivors.

"He called Mamdani’s inaccurate claim “insulting and deeply offensive,” and slammed the lefty pol’s run for mayor as “one of the most divisive citywide campaigns in modern New York history.”

“Many Jewish New Yorkers are still outraged that Mamdani spent hours sipping espresso with hate influencer Hasan Piker, who has referred to Jews as bloodthirsty pig dogs,” Treyger said, referring to an interview Mamdani did with the controversial left-wing Twitch streamer.

"Lancman, of the non-profit human rights group Brandeis Center, alleged that Mamdani was peddling antisemitism under the guise of his pro-Palestinian advocacy.

“Mamdani’s hatred of the Jewish state and Jewish self-determination is deep-rooted antisemitism, allowing his advocacy to seamlessly blend anti-Israelism with antisemitic tropes — whether it’s that Israel is the reason America isn’t spending enough on affordable housing, or that Jews are stealing taxpayer money to fund trips to Israel,” Lancman told The Post.

"Ex-Gov. Andrew Cuomo, the Democratic frontrunner for mayor, was asked on Bari Weiss’ podcast Tuesday whether he thought Mamdani was antisemitic.

"He stopped short of saying that.

“I’m being kind. Antisemite. You have to look into somebody’s soul and look at their motivation. But the position he has taken vis-à-vis Israel is radically hostile,” Cuomo said.

"Mamdani is running second behind Cuomo, 67, in recent Democratic mayoral primary polls, and even leading among voters under 45.

"The Mamdani campaign declined to directly respond to the accusation that he was peddling an antisemitic trope by saying lawmakers were soaking up taxpayer dollars to visit Israel.

“Zohran is committed to combating antisemitism—including through the largest fiscal commitment to hate crime prevention of any candidate—and making this city safe and affordable for every New Yorker,” said Mamdani campaign spokesman Andrew Epstein.

"Last week, Mamdani drew flak for refusing to sign onto a pair of resolutions recognizing Israel and the Holocaust. Critics ripped the mayoral hopeful as having “no business representing the largest Jewish community outside of Israel.”

"He said he voted for the Holocaust resolution.

"Mamdani also has received the endorsement of anti-Israel ex-“Squad” Rep. Jamaal Bowman.

"The assemblyman previously introduced the controversial “Not On Our Dime Act” that would bar New York non-profits from bankrolling any groups involved with West Bank settlements.

"His father, Mahmood Mamdani, went even further, and called for the end of the Jewish state.

“The Palestinian challenge is to persuade the Jewish population and the world … the longtime security of a Jewish homeland in historic Palestine requires the dismantling of the Jewish state,” Mahmood Mandani said during a 2014 speech at Columbia. “Jews can have a homeland in historic Palestine, but not a state.”

"The ranked-choice primary is June 24. Early voting is scheduled to begin June 14 and will go for nine days prior to the election."

How To End The Hamas Stalemate

I agree with him. Hamas always counts on Israel's restraint and all these delays to enable them to add more money, more soldiers, more Western support, and more weapons to their arsenal.  How long can this go on?

======================= 

From JNS 5/30/25:   "‘Destroy, kill and annihilate’ Hamas, Ben-Gvir urges Netanyahu. 'Mr. Prime Minister, after Hamas has once again rejected the proposed deal, there is no more excuse—for anyone,' Israel's public security minister said." 

"Israeli National Security Minister Itamar Ben-Gvir urged Prime Minister Benjamin Netanyahu on Friday to “annihilate” Hamas in Gaza after the terrorist organization reportedly rejected U.S. Mideast Envoy Steve Witkoff’s latest proposal for a hostages-for-ceasefire deal.

“Mr. Prime Minister, after Hamas has once again rejected the proposed deal, there is no more excuse—for anyone—to continue this stagnation in Gaza. We have already missed enough opportunities,” Ben-Gvir tweeted.

“It’s time to go in with full force—to destroy, to kill and to annihilate Hamas,” he said, referencing the decree against the Jews in Persia in the mid-fourth century BCE, as mentioned in the book of Esther (3:13).

"Ben-Gvir issued the statement hours after a senior Hamas official told the BBC that the terrorist organization intends to turn down the most recent U.S. offer for a temporary ceasefire in the war in the Gaza Strip.

"The official told the British broadcaster that the current Witkoff outline does not meet Hamas’s core demand from Jerusalem—a “permanent” end to hostilities. He stressed that Hamas was still in contact with mediators and would submit its written response “in due course.”

"Witkoff’s latest ceasefire proposal includes the two-stage release of 10 living hostages and 18 bodies, in exchange for the release of terrorists and a 60-day truce aimed at facilitating talks to end the conflict, according to reports on Thursday.

"The proposal, which Israel signed off on, would allow Jerusalem to resume military operations if negotiations fail to yield a final deal.

"Humanitarian aid distribution would return to being managed by the United Nations rather than by the U.S.-supported Gaza Humanitarian Foundation. Additionally, the Israeli army would withdraw from areas captured since it launched “Operation Strength and Sword” on March 18.

"Netanyahu told hostages’ families during a meeting on Thursday he was prepared to move forward with the deal, the Axios news outlet reported.

"White House spokeswoman Karoline Leavitt confirmed on Thursday that Israel signed off on the outline before it was shared with Hamas.

“I can also confirm that those discussions are continuing, and we hope that a ceasefire in Gaza will take place so we can return all of the hostages home,” she said during the briefing. Asked whether Hamas had accepted the proposal, Leavitt responded, “Not to my knowledge.”

"Fifty-eight hostages are still being held by Hamas in Gaza after more than 600 days, some 20 of whom are believed by Israel to be alive.

"Netanyahu has defined his government’s war goals as returning all of the hostages, eliminating Hamas’s military and governing capabilities and ensuring that Gaza will never again constitute a threat to Israel."

Friday, May 30, 2025

COVID Variant NB.1.8.1 May Drive Up Summer Cases

There's been a lot of  attempts to downplay this and shrug it off, but if you remember, COVID started with just a few cases in 2020 before exploding. Who's to say it can't happen again with another variant?

------------------------------------ 

From Aria Bendix at NBC News 5-,29-25:  A new Covid variant could drive up summer cases: Here's what you should know; The variant appears to be more transmissible than the dominant strain worldwide, LP.8.1, meaning it has the potential to drive up cases this summer. 

"A new Covid variant that’s gaining momentum globally has landed in the U.S.

"The World Health Organization announced last week that it was monitoring the variant, NB.1.8.1, following a rise in cases in several parts of the world, including Europe, Southeast Asia and North and South America.

"The variant appears to be more transmissible than the dominant strain worldwide, LP.8.1, meaning it has the potential to drive up cases this summer.

"But it does not seem to be much better than LP.8.1 at evading protection from vaccines or a prior infection. And the WHO has found no evidence that it leads to more severe illness, so the agency has determined that it doesn’t pose an added health risk.

“It’s an important one to track, but it doesn’t show any signs so far of being able to drive a large surge in Covid-19 cases — at least in the U.S.,” said Andrew Pekosz, a virologist at Johns Hopkins Bloomberg School of Public Health.

"Federal and state health officials regularly monitor Covid strains to identify potential changes in how the virus behaves and help inform vaccine updates. The strains that have been dominant in the U.S. since late 2021 are versions of the omicron variant and generally produce similar symptoms. NB.1.8.1 is part of that lineage.

"Covid vaccines are updated each fall to better match the circulating strains, but eligibility will likely be limited this year to older adults and young people with medical conditions.

"Infectious disease doctors said NB.1.8.1 could potentially lead to a small surge of infections for two reasons: The U.S. hasn’t seen a Covid wave in awhile and less than a quarter of adults have received the latest booster, meaning population immunity has likely waned.

“It may unfortunately come back with a little bit of vengeance on us. Let’s hope that doesn’t happen, but I am concerned that we may be setting ourselves up for that with this combination of factors,” said Dr. Thomas Russo, chief of infectious diseases at the University at Buffalo Jacobs School of Medicine and Biomedical Sciences.

"Covid cases typically rise twice a year — in the summer and winter — regardless of what variant is circulating, said Dr. Scott Roberts, associate medical director of infection prevention at the Yale School of Medicine.

“I’m going to go ahead and guess that it’s going to lead to an uptick in the summer — probably a mild to moderate one,” he said of NB.1.8.1.

"A spokesperson for the Centers for Disease Control and Prevention said there have been fewer than 20 sequences of NB.1.8.1 reported in the U.S. to date. That means the variant is not prevalent enough to appear on the CDC’s dashboard, which lists variants that make up more than 1% of national Covid cases over a two-week period.

"The Arizona Department of Health Services said it identified three samples of the variant in late April and early May through routine surveillance. NB.1.8.1 has also been detected in Rhode Island, according to the state’s health department. The Cleveland Clinic said it had detected a few cases in Ohio. 

“Whether it gets a foothold in this country and it becomes our new dominant variant or not remains to be seen,” Russo said.

"The variant is now dominant in China, where it has spread rapidly since the start of the year. By late April, it made up nearly 11% of genetic sequences submitted to a global virus database called GISAID, up from 2.5% earlier that month.

"Meanwhile, LP.8.1 has become less prevalent since mid-April, according to the WHO.

"A preprint study, which has not been peer-reviewed, found that NB.1.8.1 had the “potential for future dominance” over other circulating variants due to additional mutations that could make it more transmissible.

"People who haven’t been vaccinated or had Covid in awhile should get a booster now if they’re eligible, Roberts said. NB.1.8.1 is a cousin of JN.1 (the variant targeted by the current booster), so the vaccine should protect against it to some degree.

"The Food and Drug Administration has asked drugmakers to update Covid vaccines to target the LP.8.1 variant this fall. Data from Pfizer and Moderna suggest the updated vaccines would offer protection against NB.1.8.1 as well.

"But the FDA has said it will limit its approval of updated Covid shots to older adults and younger people with a medical condition that puts them at risk of severe illness. And the Centers for Disease Control and Prevention on Tuesday stopped recommending Covid vaccines for healthy children and pregnant women.

“I haven’t seen any substantial new data to guide these decisions,” Roberts said.

"Doctors said they worry that, because of those changes, pregnant people and children under 5 may be vulnerable to severe outcomes from Covid this winter. And even healthy adults who’ve been vaccinated before might not have optimal protection, Russo said.

“Even for people that have received one shot, two shots, even three shots — yes, that’s better than no shot,” he said. “But we know that immunity wanes and we know the virus evolves.”

Melanie Phillips 5/30/25: Diaspora Jews Under Siege

Another excellent column by Melanie Phillips, this one full of good advice for Jews on what to say when confronted by Jew-haters.  I've used "there is no such thing as Palestinians" myself over the years. Now, I'd just like to punch these antisemites in the mouth,

-------------------------------------------------- 

Diaspora Jews under siege; Israel’s defenders need to be smarter and more strategic 

Melanie Phillips 5/30/25 

"Travelling in America over the past three weeks to speak about my new book, I found a Jewish community in shock, bewilderment and, after the murderous attack last week on a young couple outside the Capital Jewish Museum in Washington, DC, gripped by rising fear.

"Some of the most poignant reactions came from liberals who, on October 7, 2023, had been mugged by a sickening reality. Their belief in achieving harmony between Israelis and Palestinian Arabs — a badge of their liberal identity — had been shattered by the barbaric and depraved attacks mounted upon Israelis that day by the people of Gaza.

"Far worse had been the reaction to this by people they had assumed were friends and colleagues who thought like them but were instead demonising Israel, regurgitating the lies of Hamas and ending their friendship simply because they hated not just Israel but those who supported it. And some were openly anti-Jew.

"Among young people, this is particularly heart-breaking. Having gained coveted spots at elite universities, they have run a gauntlet of threats and intimidation on campus; their hard-won careers have been placed in jeopardy if they don’t go along with lie after lie about Israel, the most recent being about starvation in the Gaza Strip.

"Eager for the verbal ammunition with which to fight back, they haven’t found it. They possess neither information nor a strategy that could help. “What on earth do I say in this situation?” they repeatedly asked me. “No facts or evidence seem to make the slightest dent in how these people think.”

"Individuals can’t fight this on their own. These Jews under siege have, in effect, been abandoned — with some heroic exceptions — by leaders of the Jewish community. As in Britain, these leaders are simply failing to address the lies.

"Unfortunately, this is because too many of them believe some, if not all, of the falsehoods. The relentless media saturation in Palestinian propaganda, which receives so little informed pushback, has drawn them into that poisonous echo chamber.

"In America, the fact that so many Jews are ideologically attuned to liberal shibboleths means they have bought heavily into the narrative of Palestinian Arab oppression that is now the default position of Western progressives. The result is an absence in the public square of truths people desperately need to hear, but which many Jewish leaders find uncomfortable and dismiss as extremist positions.

"For example, they should be saying loudly that everything Israel does is in accordance with international law, and that the Jews alone have the legal and historical right to the land many times over.

"That the Jews are the indigenous people of the land; the Arabs are colonisers, and Zionism is a supreme decolonisation movement.

"That there is no such thing as the Palestinian people. Palestinianism was invented purely to destroy Israel and to steal the Jews’ own history in the land from them. The Palestine cause is a glaring example of cultural appropriation.

"And that anyone who supports the Palestinian cause is incontrovertibly supporting an agenda of Nazi-style demonisation of the Jews, ethnic cleansing and genocide.

"Just to list these key statements of reality — so rarely voiced — is to realise the shameful silence of the Jewish community’s leaders in the United States and the United Kingdom, and the lethal vacuum they’ve allowed to develop in public debate. They have effectively abandoned individual Jews and activist groups trying to counter the falsehoods and sound the alarm over such hate-mongering, leaving them to struggle against this onslaught alone.

"Those involved in the defence of Israel, moreover, need to understand a particularly devastating characteristic of this current madness. It draws its astonishing traction from the very fact that the Israel-haters are often idealistic people who hate aggression and are committed to justice. And it’s why the claim of antisemitism not only has no purchase but makes the onslaught even worse.

"This is because there’s an infernal progression of thought that follows inexorably from the false premise of the Israel-haters. If you really do think that the Jews of Israel not only stole another people’s land, not only have driven out and oppressed its rightful inhabitants but are also now wantonly killing Arab babies in Gaza, then you must think that the Israelis are evil people. You must think that any Jews who support Israel and Zionism are therefore also evil.

"If a people or their cause is evil, it’s not only permissible to detest them and try to remove them from the world. It’s a moral obligation to do so. If Israel, Zionism and the Jews are evil, then it’s a moral obligation to detest them and try to remove them from the world.

"So the truly horrifying situation is that to the Western liberal — for whom Zionism is racism and Israel starves babies to death — antisemitism is therefore not just the shield behind which the Jews sanitise Israel’s crimes.

"It’s not what it actually is: a uniquely murderous and deranged creed that all people of conscience must oppose. Unbelievably, for the Western liberal, antisemitism has become a moral obligation. The destruction of the Jewish homeland and the abuse of Jews have become an expression of liberal conscience.

"And that’s why the entire humanitarian establishment — the United Nations, the International Criminal Court, the International Court of Justice, the whole apparatus of human-rights law, and NGOs like Amnesty and Human Rights Watch — all of this is focused on singling out Israel and the Jews to be demonised and dehumanised.

"It’s why the most “progressive” countries — Britain, Canada and Australia — are the most viciously hostile to Israel. It’s rank, murderous, racist bigotry, all in the name of conscience and justice.

"It’s as if Stalinism and Nazism are finally winning against civilisation, destroying the Jews through frying the Western brain. This is why so many feel they have stepped through the looking-glass into a living nightmare.

"So what is to be done? Clearly, the Jewish world is up against the old evil, but of an unprecedented type and scale. And, of course, against such derangement, reason doesn’t work.

"It’s important, though, to put the facts into the public domain for those who are not immune to reason but are simply ignorant of Judaism, the Middle East and the history of the Jewish people. That, unfortunately, includes many Jews.

"As for the haters who are indeed beyond rational argument, there is a strategy that would be effective. This involves recognising their Achilles’ heel.

"What they most care about is not the “oppressed” Palestinian Arabs whose cause they so noisily proclaim. They care, above all, about their image to themselves and to others as moral, compassionate and smart. There’s no point calling them out for antisemitism. And playing defence is worse than useless because it’s to argue on the mind-twisting terms they have set out and so is bound to fail.

"Israel’s defenders should instead put these people on the back foot by calling them out for being the very things that they purport to hate.

"So, for example, they should be accused of promoting imperialism, in supporting the Arab conquest of another country and extinguishing the rights of its indigenous people; of being stupid, sloppy and credulous in writing and broadcasting manipulative falsehoods; and of being racist.

"Arabs comprise about 20 per cent of Israel’s population. By demanding that the “settlers” be removed from the disputed areas of Judea and Samaria because this supposedly prevents the creation of a state of Palestine, the Israel-haters are supporting ethnic cleansing and promoting a doctrine of racial purity. They should be told that their progressivism is bogus.

"Jews in America and Britain should stop presuming to lecture Israel about what it should be doing. If they don’t live there, they have no right to do so. Their task — and it could not be more urgent — is instead to start educating diaspora Jews about Judaism and the Jewish people, and then take the fight to the enemy in a far smarter and more strategic way."

Thursday, May 29, 2025

Leave It To The Bee!

This is from The Babylon Bee back on March 28, 2025, and things haven't changed, especially in the last day or so! Peter Doocy even joked about it at today's White House press conference: 

Peter Doocy: "Does the President wish he would have just become a judge instead?"  Caroline Leavitt: "I think the President would take this job over being a judge."                               

---------------- 

Trump Leaves Presidency To Become Even More Powerful District Court Judge 

"WASHINGTON, D.C. — President Donald Trump announced this week that he was leaving office in order to take an even more powerful position as a U.S. District Court judge.

"After ascending to the presidency twice in the last decade, Trump set his sights on the next rung up the political ladder, with a spot in the federal judiciary proving him with far more authority to rule the nation.

"I love being president. I'm great at it. The best our country has ever had, many people say," Trump told the press. "But after seeing how much power those U.S. District Court judges have, I've decided to resign the presidency and join the judiciary. They seem to really be able to do anything they want."

"Trump announced the move after a series of sweeping rulings from judges over the last several weeks, which greatly limited the breadth of the executive branch's powers. Trump said he's been eyeing the move for a while and thinks he'd be a great fit as he's already well-versed in the legal system.

"After going through all that stuff with the corrupt courts in New York, I think I have a pretty good handle on how things work," Trump said. "There can't be that much to it. Just bang the wooden hammer thing and create your own rules and laws all the time. Some are saying I'm going to be the best District Court judge that ever lived. I didn't say it, but some have."

"At publishing time, Trump decided he might also try his hand at running for Congress for when he needs to have a break and take a much-needed rest from doing any work."

Striving For Stupidity

When I was growing up, I thought going to school gave you an education and made you smarter. Apparently I was wrong, because San Francisco has the opposite philosophy, which seems to be "it's okay to be stupid".

--------------------- 

Gee, that was quick! Here's an excerpt from National Review 5/29/25: 

San Francisco Backtracks on ‘Equity’ Grading Program after Backlash

"The San Francisco Unified School District is backing away from a proposed “Grading for Equity” program that would have erased consideration of attendance, effort, and class participation from a student’s grade. 

"The city’s board of education heard the proposal on Tuesday and seemed poised to adopt it but was met with widespread backlash from parents and educators alike. Mayor Daniel Lurie announced late Wednesday that the plan would not go into effect.

“We owe our young people an education that prepares them to succeed. The proposed changes to grading at SFUSD would not accomplish that,” Lurie wrote on X.

“I have conveyed our view to SFUSD. We are optimistic that there is a better path forward for our kids and their future,” 

...........

San Francisco has come up with a brilliant solution for its failing schools,” California State Representative Kevin Kiley said. “Students simply won’t be failed. Under the new ‘Grading for Equity’ plan, Fs are now Cs; Bs are now As; homework and tests are ungraded; truancy is unpunished; and finals can be re-taken again and again.”

"Fifty-two percent of SFUSD high school students tested at or above proficiency level for reading and 36 percent tested at or above proficiency level for math, according to the most recent figures from U.S. News."

=======================

Meanwhile, clueless Generation Z-ers are now taking classes in how to make it through real life:

Gen Z is signing up for ‘Adulting 101’ classes — because they can’t handle basic life skills: ‘A lot of stuff involves money’ 

"A lot of stuff" also involves getting along with your superiors and co-workers at the jobs you can't seem to handle, either.

Wednesday, May 28, 2025

NB.1.8.1 Is An Omicron Variant

It never fails to amaze me when I see the reader comments on certain websites and see that people are boasting about never having gotten a COVID shot because "it kills you"; or they've had COVID three times so far, but it's "just a little cold", etc.  So even five years later, people are still willfully blind. Good luck to them!

----------------- 

From Beth Greenfield at Fortune-Well, May 27, 2025:

The latest COVID strain, NB 1.8.1, is an Omicron variant. Here’s all you need to know 

"Between measles and bird flu, there is no shortage of outbreaks to monitor. But experts suggest adding another to your radar: the latest strain of COVID, NB 1.8.1, which is surging in China and has been detected by the U.S. Centers for Disease Control and Prevention’s airport screening program in California, Washington, Virginia, and the New York City area. 

"Its appearance in the U.S. came just before Robert F. Kennedy Jr’s announcement on Tuesday that the CDC will no longer recommend COVID vaccines for healthy children and pregnant women.

"The cases of NB 1.8.1 detected in the U.S. are, as of now, few and far between, a CDC spokesperson tells Fortune.

“CDC is aware of reported cases of COVID-19 NB.1.8.1 in China and is in regular contact with international partners. There have been fewer than 20 sequences of NB.1.8.1 in the U.S. baseline surveillance data to date, so it has not met the threshold for inclusion in the COVID Data Tracker dashboard,” the spokesperson notes. “We monitor all SARS-CoV-2 sequences, and if it increases in proportion, it will appear on the Data Tracker dashboard.”

"Dr. William Schaffner, Vanderbilt University School of Medicine professor of medicine and preventive medicine, says the new variant is “kind of scattered about the U.S. at the moment, in small numbers.” It appears to be another variant of the Omicron family, he tells Fortune, “So it’s not a dangerous new mutant, but the latest cousin.”

"So how worrisome is the new strain, and what should you watch out for? Below, all you need to know about the detection of NB 1.8.1.

Symptoms of the latest COVID strain

"The new variant has no unique characteristics, says Schaffner, and causes mild symptoms—typically congestion or a runny nose, cough, fatigue, headache, body aches, and fever or chills. 

"It is highly contagious and will likely continue to spread, he adds, pointing out that there is typically a winter surge as well as a mid- to late-summer surge.

"But, as over 95% of the U.S. population has either had COVID or the vaccine or both, we now have “extraordinary population immunity,” he points out.

“Now, this is not to say that Omicron is trivial, because there are on the order of 200 to 300 deaths that are occurring weekly, still due to COVID infection,” Shaffner says. “Of course, those are in highly vulnerable populations—older persons and people with chronic underlying medical conditions—by and large.” 

"Another lingering concern always the possibility of winding up with long COVID. “That hasn’t gone away, and that can actually follow milder infections as well as more severe infections,” he says, stressing that the data “are really quite reassuring” regarding vaccination, meaning that it not only helps prevent severe acute disease, but also reduces the risk of getting long COVID.

How to stay safe—and what vaccine protocol to follow

"Recently, the Food and Drug Administration announced it was likely to limit access to immunizations among healthy children and adults under 65 this fall.

"Schaffner, for one, wishes the latest recommendations had waited until the CDC’s next Advisory Committee on Immunization Practices (ACIP), set for June. “The current mechanism seems to have turned the recommendations process upside down—namely, it’s coming from the top down, rather than from the bottom up,” he says.

"He points to and endorses the recommendations that, as of just before the CDC announcement, called for pregnant women to receive COVID shots. “And not just I, but the American Academy of Pediatrics and the American Academy of Family Physicians were recommending universal vaccination pending the meeting of the ACIP in June,” he says. “So I will make the observation that we could have waited just a month and have the normal process address this issue.”

"People who are at higher risk—older people, those with chronic underlying medication conditions, and those who are immune compromised—should certainly consider vaccination. 

“And then dust off your masks,” Shaffner says. “Use them when you’re indoors in large gatherings.” 

Why tracking COVID strains is important

"It’s important to track the strains, explains Schaffner, “because we want to be sure that the vaccines we offer are going to provide reasonable protection against severe disease caused by these various strains.” The current belief is that the vaccines on offer will protect against the new strain.

"Monitoring globally, he adds, helps public health officials from being caught unprepared by a new, aggressive strain. “Because these viruses don’t need passports. They can move rapidly around the world.”

Tuesday, May 27, 2025

Did Joe Biden's Aides Watch "Star Trek"?

Because the news that his "politburo" of aides more or less ran the Presidency for him reminded me an awful lot of the Star Trek episode "Patterns of Force."  Even the photo on that website is reminscent of Biden.

Biden was like the character John Gill in the Star Trek episode "Patterns of Force". Gill was a decent man who turned into a drugged, powerless figurehead, manipulated and controlled by others for their evil purposes. The White House aides weren't evil, but they participated in a huge cover-up, and essentially a vote for Biden in the 2024 election would have been a vote for the aides.

As Red State columnist Bob Hoge describes it in "Evil: This Is How Staffers Planned to Run the Country If an Incoherent Biden Had Been Reelected",  "They planned to use these 'proof of life' moments to prop up the commander in chief, but actually run the country themselves. In other words, they were able to convince themselves to do evil in the name of 'good.'"

We're so lucky that Biden was persuaded to bow out of the Presidential race, and that Trump was elected instead!

Prepare For COVID Variant NB.1.8.1

Brace yourself. I was happy to see the recommendation to wear masks, but I have a feeling most people will selfishly refuse to wear one -- which is why I wear one.  Use your common sense, and if you are immunocompromised, you won't want to take any chances.

Sorry, folks -- COVID still is not over.

-------------------------------

By Sara Moniuszko at CBS News 5/27/25: 

COVID variant NB.1.8.1 hits U.S. What to know about symptoms, new booster vaccine restrictions

"Cases of the new COVID-19 variant NB.1.8.1, linked to a large surge in China, have been detected in multiple locations across the United States, according to the Centers for Disease Control and Prevention. The earliest cases in the U.S. date back to late March and early April, and were detected through a screening program at airports for arriving international travelers.

"CDC is aware of reported cases of COVID-19 NB.1.8.1 in China and is in regular contact with international partners," a CDC spokesperson said in a statement last week.

"The spokesperson said that, so far, too few U.S. sequences have been reported of NB.1.8.1 to be included in the agency's variant estimates dashboard.

"But hospitalizations abroad have raised questions about the new variant, its symptoms and more. Here's what to know, according to experts. 

New COVID variant's symptoms 

"NB.1.8.1 is associated with symptoms that are "broadly similar to those seen in earlier strains of the virus," Subhash Verma, a professor of microbiology and immunology at the University of Nevada, Reno School of Medicine, told CBS News in an emailed statement.

"Commonly reported symptoms include respiratory issues such as cough and sore throat, as well as systemic effects like fever and fatigue, he said. 

How dangerous is the new COVID variant?

"Data indicates that NB.1.8.1 does not lead to more severe illness compared to previous variants, although it appears to have a growth advantage, suggesting it may spread more easily," Verma said. "In other words, it is more transmissible."

"Authorities in Hong Kong say there is no evidence that the variant, a descendant of the XDV lineage of the virus, is more severe than previous strains. 

"Dr. Amy Edwards, assistant professor of pediatrics at the School of Medicine at Case Western Reserve University who specializes in infectious diseases, also told CBS News there is some evidence in the lab that this variant binds more tightly to human cells, which means it is easier to transmit. But, that doesn't mean it leads to more severe infection. 

"What they're seeing in China, Hong Kong and some other areas where this variant has really surged, is an increase in hospitalization, but that seems to be more to do with just a standard summer surge that we've been seeing," Edwards explained, adding the available data is still preliminary, but that the variant "doesn't seem to be more severe."

2025 COVID booster shot

"Despite the latest variant displaying high transmissibility, the Trump administration is planning to limit booster vaccine access to some groups.

"Last week, the Food and Drug Administration said it will continue approving COVID-19 vaccine updates for seniors and those with an underlying medical condition, including pregnancy or diabetes, but will require vaccine makers to conduct major new clinical trials before approving them for wider use. The decision means many Americans without underlying conditions may not have access to updated shots this fall.

"Verma said these restrictions could have several significant public health impacts.

"Although over 100 million Americans are still expected to qualify under these criteria, the administration's decision introduces new barriers for the broader population," he said. "One immediate concern is that the FDA's requirement for updated clinical trials could delay access to boosters for lower-risk groups, discouraging some individuals from seeking vaccination. The new policy may also create confusion and reduce vaccination rates if people are uncertain about their eligibility or worried about insurance coverage, particularly with high-cost manufacturers planning to charge."

"Edwards said the recommendation updates remain unclear.

"Some of the language around pre-existing conditions is pretty loose," she explained. "The other thing is, it's not clear what variants are going to be in this year's vaccine, especially with some question around what kind of vaccine trials are going to be allowed."

"The new COVID-19 vaccination framework was laid out by the FDA's new leadership under Health and Human Services Secretary Robert F. Kennedy Jr., who has publicly raised doubts about vaccines

"We had heard Secretary Kennedy say, we're not going to take away your vaccines, we're going to be super transparent. And in fact, what is happening is people are going to lose access to vaccines," Dr. Céline Gounder, CBS News medical contributor and editor-at-large for public health at KFF Health News, told "CBS Mornings Plus" following the FDA's announcement about vaccine approvals. 

Are there other ways to prevent infection?

"With questions about vaccine access up in the air, Edwards said there are still strategies for prevention. 

"Good cough and sneezing hygiene, good hand washing, staying home if you're not feeling well to keep other people from catching what you've got," Edwards advised. "If you're a little under the weather, but well enough to be out and about, wearing a mask."

"Despite some controversy around mask wearing, Edwards said they can prevent spread by keeping your germs to yourself. 

"One of the places where masks have long been known to be the most effective is in preventing someone who's ill from passing that infection to other people," she said. "So if I've got a slight sore throat, little bit of sniffles, obviously, that might not be enough to keep me home, but if I put a mask on, I can reduce the risk that I would transmit whatever I'm carrying to other people. And that's not just for COVID. That's any respiratory virus."

"Authorities in Hong Kong have also begun urging residents to mask when in public transportation or crowded places as cases have climbed. "

Monday, May 26, 2025

Why Should Israel Feed Gaza?

I still don't see why Israel is somehow responsible for feeding the supposedly "starving" Gazans who want to eradicate the state!

If the United Nations is so concerned, let them provide the food, along with Hamas, who the Gazans voted for. Why don't the campus terrorists go help out, if they are so concerned? Where are Israel-haters Ilhan Omar and Rashida Tlaib now? I'd like to see all of these people go there, and stay there.

Does anyone remember October 7, 2023? Israel was the victim.

--------------------------

The Algemeiner, 5/25/25:

UN Says More Food Needed in Gaza as Looting Hampers Deliveries

"Israeli airstrikes killed at least six Palestinians guarding aid trucks against looters, Hamas officials said on Friday, as the head of the United Nations warned that only a “teaspoon” of aid was getting in following Israel’s 11-week-long blockade.

"The Israeli military said 107 trucks carrying flour and other foodstuffs as well as medical supplies entered the Gaza Strip from the Kerem Shalom crossing point on Thursday, for a total of 305 since Monday when the blockade was relaxed.

"But getting the supplies to people sheltering in tents and other makeshift accommodation has been fitful and U.N. officials say at least 500 to 600 trucks of aid are needed every day.

"So far, an umbrella network of Palestinian aid groups said, 119 aid trucks have got past the Kerem Shalom crossing point and into Gaza since Israel eased its blockade on Monday in the face of an international outcry.

"Despite the relaxation of the blockade, distribution has been hampered by looting by groups of men, some of them armed, near the city of Khan Younis, an umbrella network representing Palestinian aid groups said.

“They stole food meant for children and families suffering from severe hunger,” the network said in a statement, which also condemned Israeli airstrikes on security teams protecting the trucks.

"The U.N. World Food Program said 15 trucks carrying flour to WFP-supported bakeries had been looted, which it said reflected the dire conditions facing Gazans.

“Hunger, desperation and anxiety over whether more food aid is coming is contributing to rising insecurity,” it said in a statement.

"A Hamas official said six members of a security team tasked with guarding the shipments were killed.

"Israel imposed the blockade in early March, accusing Hamas of stealing aid meant for civilians. Hamas rejects the charge, saying a number of its own fighters have been killed protecting the trucks from armed looters.

“Hamas constantly calls the looters ‘guards’ or protectors’ to mask the fact that they’re disturbing the aid process,” an Israeli military official said."

Memorial Day 2025

I saw this poem on a small Memorial Day display in an office recently, and I looked it up when I got home. The poet was born in 1889 and died in 1952, but this poem is very appropriate today, when people just think of shopping and barbeques.

"Memorial Day, by Annette Wynne:

Is it enough to think to-day
Of all our brave, then put away
The thought until a year has sped?
Is this full honor for our dead?

Is it enough to sing a song
And deck a grave; and all year long
Forget the brave who died that we
Might keep our great land proud and free?

Full service needs a greater toll—
That we who live give heart and soul
To keep the land they died to save,
And be ourselves, in turn, the brave!

Sunday, May 25, 2025

Dr. Ruth's COVID & Health News, 5/25/25

Here's the latest newsletter from Dr Ruth Ann Crystal. She does an amazing job compiling all this data.

Call me skeptical, but whenever I see the word "lull" in reference to COVID, I prepare for the other shoe to drop.

-------------------------------------- 

COVID & Health News, 5/25/25

COVID, Flu and RSV are at low or very low levels in wastewater.

COVID

SARS-CoV-2 levels in wastewater are low and Emergency Department visits and COVID deaths are also low across the country. Friday, JP Weiland estimated that there are 175,000 new COVID cases per day in America with about 1 in 190 people currently infected. We are in a lull.

SARS-CoV-2 Variants

Unfortunately, the CDC did not update their SARS-CoV-2 variant reporting this week. Variant data is projected through 5/10/25 only. At that time, LP.8.1 was 70% of COVID cases and XFC (aka XFG) was up to 9% of cases.

XFG was first found in Quebec and is more common in North America and Europe. We are seeing an increase of XFG in the bellwether state of New York. XFG has a 65% weekly growth advantage and JP Weiland predicts that XFG will be dominant in New York by about June 2, dominant across the United States in June, and dominant in Europe in June or July.

NB.1.8.1 is high in Hong Kong and China. In fact, pediatric COVID wards are full in Hong Kong and authorities are asking people to vaccinate their children against COVID.

From: https://substack.com/@bhawkins3

According to Cornelius Roemer, “Per recent work by Yunlong Cao's group, NB.1.8.1 has relatively higher ACE2 binding affinity than XFG but lower immune escape (in serum neutralization assays using breakthrough infection samples). This could result in the two lineages becoming dominant in different regions, depending on prior lineage exposure, vaccination history and population immunity.”

From: https://www.biorxiv.org/content/10.1101/2025.04.30.651462v1.full.pdf

Acute COVID infections, General COVID info

Researchers at UCSF found that a single gene, OLAH, or a three-gene blood signature can predict COVID death within 48 hours of hospital admission with up to 88% accuracy. These simple gene expression patterns could speed up triage and improve outcomes during hospital surges.

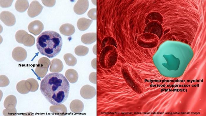
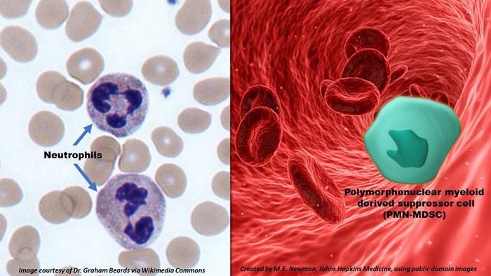
A study from Johns Hopkins reveals that SARS-CoV-2 infection reprograms neutrophils to degranulate and transform into myeloid-derived suppressor cells (MDSCs). MDSCs suppress T cell activity which can weaken the body's immune response to SARS-CoV-2 and contributes to severe COVID infection. The research highlights a mechanism by which the virus may undermine the body’s immune defenses offering insights that could inform future treatments targeting immune regulation in COVID.

From: https://www.eurekalert.org/news-releases/1084908

Pediatrics

A study of 16 children hospitalized with COVID found they had abnormal gut microbiota and significantly lower levels of key fecal vitamins and lipids compared to healthy peers. These changes are believed to impair immune function and may contribute to worse outcomes, highlighting the potential role of gut health in pediatric COVID severity and recovery.

Infants under 8 months hospitalized with COVID infection showed distinct immune responses that varied with disease severity and differed significantly from adult responses. Unlike adults, infants had heightened interferon-stimulated gene activity in T and B cells. These findings could help guide infant-specific treatments and vaccine development.

Vaccines

This week, the FDA announced a dramatic shift in COVID vaccine policy under the Trump administration. The agency will no longer approve or recommend COVID vaccines for healthy individuals aged 6 months to 64 years without a high-risk condition, such as chronic illness or immune compromise. People over age 65 are still allowed to be vaccinated against COVID. The change was announced via an editorial in JAMA by political appointees (Prasad and Makary) rather than through standard advisory panels and has sparked controversy. Critics, including physicians and public health experts, warn that the decision undermines scientific norms, excludes high-risk groups like health care workers, caregivers and overweight individuals, and could severely limit vaccine access for millions of Americans. The new U.S. FDA recommendation comes as officials in Hong Kong are urging that children be vaccinated against COVID because a new COVID wave has filled pediatric wards with sick children, further underscoring the potential dangers of the U.S. policy shift.

Despite approving a new formula targeting the JN.1 lineage for fall 2025 boosters and greenlighting the Novavax vaccine with restrictions, the FDA now requires vaccine manufacturers to conduct large, new studies if they want approval for broader public use. Experts have called out misleading data presentations and the lack of consultation with advisory committees like ACIP. COVID vaccines have been shown to reduce viral shedding, reduce illness severity and reduce the risk of Long COVID. Meanwhile, former U.S. Surgeon General Dr. Jerome Adams emphasized that COVID remains a deadly threat, killing over 47,000 Americans in 2024, which is more deadly than car crashes or breast cancer. Critics warn this change in vaccine policy erodes trust, sets a dangerous precedent, and could limit access to vaccines for millions of Americans from age 6 months to 64 years without justification while the SARS-CoV-2 virus continues to evolve and cause waves of disease and disability.

From: Katelyn Jetelina, YLE

For fact checked, reliable information on vaccines, please see the American Academy of Pediatricians’ website.

A new preprint in Nature of more than 33,000 individuals shows that for men over age 70, vaccinated people had significantly fewer post-COVID heart attacks, strokes, and deaths compared to unvaccinated individuals. This study used a target trial emulation to mimic a randomized trial.

Moderna has withdrawn its application to license a combined flu-COVID vaccine, citing ongoing regulatory and data hurdles. This is a shame since the combined dual vaccine was more effective than the separate vaccines.

Antiviral treatments

Masitinib, a tyrosine kinase inhibitor, was found to effectively inhibit SARS-CoV-2 replication by targeting its main protease 3CLpro, both in vitro and in mice. It has broad spectrum antiviral activity against SARS-CoV-2, OC43 and picornaviruses and also has anti-inflammatory activity by controlling activated macrophages and mast cells involved in COVID. AB Science has licensed the drug from the University of Chicago and recently was issued a Chinese patent for the Masitinib.

Long COVID

Dianna Cowern, also known as the Physics Girl on YouTube, made a touching new video about her battle with severe Long COVID and ME/CFS and her recent significant improvement. After 2 years of being bedridden, she now is able to walk, talk and enjoy life more.

A new study from Germany found that intravenous administration of the SARS-CoV-2 spike protein in mice led to neuroinflammation and accumulation of alpha-synuclein in brain regions associated with Parkinson’s disease. Authors also discovered “sex-dependent alterations in astrocyte reactivity and parvalbumin-positive interneurons.” These findings suggest that exposure to the spike protein alone, without full viral infection, may contribute to neurodegenerative processes linked to Parkinson's, thus highlighting potential long-term neurological risks following COVID infection. This is yet another reason to allow everyone to protect themselves with vaccination.

The above mentioned study builds upon Ali Erturk’s lab report from December 2024 which showed that persistence of spike protein at the skull-meninges-brain axis induced neurological damage in mice.

From: https://www.cell.com/cell-host-microbe/fulltext/S1931-3128(24)00438-4

A large genome-wide association study of 6,450 Long COVID cases identified a genetic link between Long COVID and the FOXP4 gene, independent of its known role in severe COVID infection. This finding was then replicated in an even larger group of 9,500 Long COVID patients. “Higher FOXP4 levels in nonacute COVID-19 [blood] samples were associated with increased risk of long COVID (OR = 2.31 per 1 s.d. increase in FOXP4 expression).”

This study shows that genetic variants in the FOXP4 gene may influence the risk of developing Long COVID through effects on lung function and immune responses to viral infection. This link may vary depending on SARS-CoV-2 variant and vaccination status. Most study data were collected before the Omicron wave and widespread COVID vaccination. Still, it makes me wonder if FOXP4 could be used as a biomarker for Long COVID in some way.

More studies are showing the important relationship between the gut and Long COVID. Researchers from Vienna found that people with Long COVID fatigue have damaged gut barriers and signs of immune activation. Preexisting gastrointestinal symptoms before COVID infection predisposed people to developing Long COVID fatigue. Long COVID patients were found to have “an increased LBP/sCD14 ratio and lower IL-33 levels, which indicates altered immune activation and a reduced intestinal barrier. In addition, there were increased IL-6 levels, which are considered a marker for systemic inflammatory reactions.”

Graphical Abstract

LBP/sCD14 is the ratio of lipopolysaccharide binding protein to soluble CD14.

From: https://onlinelibrary.wiley.com/doi/10.1111/all.16593

Low-dose naltrexone was found to restore function of TRPM3 ion channels in Natural Killer cells from people with Long COVID back to levels seen in healthy controls. These ion channels are important for immune cell signaling and their dysfunction may contribute to ongoing symptoms.

In a placebo-controlled UCSF trial of 36 Long COVID patients, AER002 monoclonal antibodies did not show a significant benefit over placebo, though some individuals in both groups experienced symptom improvement. The study confirmed the treatment’s safety, but raised questions about whether viral persistence is truly driving symptoms or if multiple doses of monoclonal antibodies are needed to resolve Long COVID symptoms. Dr. Peluso emphasized the importance of identifying biomarkers to target specific subgroups more effectively in future trials. UCSF is launching new studies to explore other Long COVID treatments, including drugs for inflammation, neurological symptoms, and immune modulation.

H5N1

A new H5N1 bird flu mRNA vaccine designed for cattle showed strong immune responses and safety in initial trials. The development could help curb H5N1 transmission in farm environments and reduce risks of zoonotic spillover.

Measles

Since January 1, there have now been 1046 Measles cases reported in the United States, with 12% of cases requiring hospitalization (127 of 1046), and 3 deaths.

Health officials in New Jersey are warning that a person infected with measles attended a Shakira concert in East Rutherford, New Jersey, on May 15. Measles symptoms could develop up to 21 days later (June 6). Two doses of the MMR vaccine protect 97% against the measles.

Babies vaccinated early with the MMR before 8.5 months of age, instead of at 12 months of age, had a rapid decline in measles antibodies, with >70% losing protection by 6 years, even with a second MMR dose at 14 months. The CDC recommends “Infants 6–11 months old should get 1 dose of the MMR vaccine before [international] travel. Then they should get 2 more doses after their first birthday.”

From: https://academic.oup.com/cid/article/80/4/904/7874423?login=false

ME/CFS

A group from Yale and Sweden analyzed cerebrospinal fluid and blood samples from 40 ME/CFS patients and 41 healthy controls and discovered two ME/CFS patient clusters that were identified based on matrix metalloproteinases (MMPs) profiles in the CSF. Despite similar clinical presentations, these subgroups exhibited different pathogen exposures and CSF inflammatory profiles. MMPs are linked to tissue remodeling and inflammation. The results show that ME/CFS is not a single disease but includes multiple immune-based subtypes.

From: https://academic.oup.com/jimmunol/advance-article/doi/10.1093/jimmun/vkaf087/8133211

Other news:

China will donate $500 million to the World Health Organization to bolster global health initiatives, particularly in low-income countries. This move follows significant American funding cuts and signals China’s intent to take on a more prominent role in international public health.

Despite increasing cases of infectious diseases like measles and whooping cough, the CDC has stopped important communications. One of the main CDC newsletters on outbreaks has not been sent to health professionals since March and CDC social media accounts have not posted new content in over a month. Experts say the lack of timely updates could hinder effective prevention and response, especially as misinformation fills the gap.

Former President Joe Biden, age 82, was diagnosed with prostate cancer that has spread to his bones. “While this represents a more aggressive form of the disease, the cancer appears to be hormone-sensitive which allows for effective management.”

CT scans may be linked to more cancer cases than previous estimates. “If current CT practices persist, the scans could eventually account for an estimated 5% of new cancer diagnoses each year" because of radiation associated with CT scans.

Antibiotic use in infants can disrupt the gut microbiota and weaken their response to vaccination.

The Restaurant of Mistaken Orders in Kyoto, Japan embraces its servers- all of whom have dementia. About 40% of orders are wrong, but customers don’t mind because whatever dish is served, they know that it will taste good. Mistakes are accepted and it allows the elders to interact with their community.

From: Restaurant of Mistaken Orders

Have a great week,

Ruth Ann Crystal MD

The Ghost of Antony Blinken

Oh no, not again! It's Blinken and Biden all over again, interfering with Israel's attempts to eliminate Hamas and its supporters. I am hearing the word "disproportionate" again, which is a euphemism for "it's okay for Hamas to wipe Israel off the map, but it's not okay for Israel to protect herself and fight back."

And as before, Israel's answer should be a form NO!

=====================================

Jerusalem Post 5/25/25:

US asks Israel to delay major ground invasion of Gaza amid hostage deal talks - exclusive. Gov't officials have said that once the full-scale ground op. begins, Israel will not withdraw from areas it has entered, even as part of a deal.

"The United States has asked Israel in recent days to delay its full-scale military operation in Gaza as part of efforts to exhaust negotiations for a hostage deal, two sources familiar with the matter told The Jerusalem Post on Sunday. 

"The request included two key components: Delay the full-scale operation in Gaza and enable ongoing negotiations to proceed in parallel with the military operation.

"While Israel is currently conducting significant operations in Gaza, officials in Jerusalem have made it clear that once the full-scale ground operation begins, Israel will not withdraw from areas it enters, even as part of a potential deal. Moreover, the possibility of a ceasefire as part of any agreement would become more complicated.

“Once the maneuver begins, we will act with full force and will not stop until all objectives are achieved,” Defense Minister Israel Katz said several days ago.

Netanyahu is prepared for a temporary ceasefire to bring back hostages

"Despite the ongoing military activity and as a result of Israeli statements, the US has asked Israel to allow the current negotiations for a potential hostage deal to continue. “If there’s an opportunity for a temporary ceasefire to bring back hostages, we are prepared for that,” Prime Minister Benjamin Netanyahu said last Wednesday.

"Israel decided to recall its delegation from Qatar last Thursday after Hamas insisted on American guarantees to end the war as part of any agreement.

"Israeli officials maintain that the only deal currently on the table is the "Witkoff framework," which includes the release of 10 hostages and a 60-day ceasefire. An Israeli source told the Post a few days ago, “It’s deadlocked.”

"Although the Israeli delegation has left Qatar, the US administration continues indirect talks with Hamas through Dr. Bashara Bahbah, who previously led the “Arab Americans for Trump” campaign."

COVID Variant NB.1.8.1: Will We Have a COVID Surge Like the One in Asia?

A new variant, and a totally oblivious public. If the "predictable pattern" of COVID is turns out to be unpredictable this time, then what?

----------------------------------

CBS News May 23, 2025: U.S. reports cases of new COVID variant NB.1.8.1 behind surge in China

"The Centers for Disease Control and Prevention's airport screening program has detected multiple cases of the new COVID-19 variant NB.1.8.1, which has been linked to a large surge of the virus in China. 

"Cases linked to the NB.1.8.1 variant have been reported in arriving international travelers at airports in California, Washington state, Virginia and the New York City area, according to records uploaded by the CDC's airport testing partner Ginkgo Bioworks.

"Details about the sequencing results, which were published in recent weeks on the GISAID, or Global Initiative on Sharing All Influenza Data, virus database, show the cases stem from travelers from a number of countries, including Japan, South Korea, France, Thailand, the Netherlands, Spain, Vietnam, China and Taiwan. The travelers were tested from April 22 through May 12, the records show.

"Cases of NB.1.8.1 have also now been reported by health authorities in other states, including Ohio, Rhode Island and Hawaii, separate from the airport cases. In California and Washington state, the earliest cases date back to late March and early April.

"Experts have been closely watching the variant, which is now dominant in China and is on the rise in parts of Asia. Hong Kong authorities say that rates of COVID-19 in the city have climbed to the worst levels they have seen in at least a year, after a "significant increase" in reported emergency room visits and hospitalizations driven by COVID-19.  

"CDC is aware of reported cases of COVID-19 NB.1.8.1 in China and is in regular contact with international partners," a CDC spokesperson said in a statement.

"The spokesperson said that, so far, too few U.S. sequences have been reported of NB.1.8.1 to be included in the agency's variant estimates dashboard.

"While authorities in Hong Kong say there is no evidence that the variant, a descendant of the XDV lineage of the virus, is more severe, they have begun urging residents to mask when in public transportation or crowded places as cases have climbed.

"Health authorities in Taiwan have also reported a rise in emergency room visits, severe cases and deaths. Local health authorities say they are stockpiling vaccines and antiviral treatments in response to the epidemic wave.